Veneers
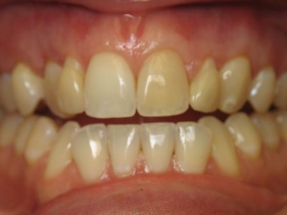
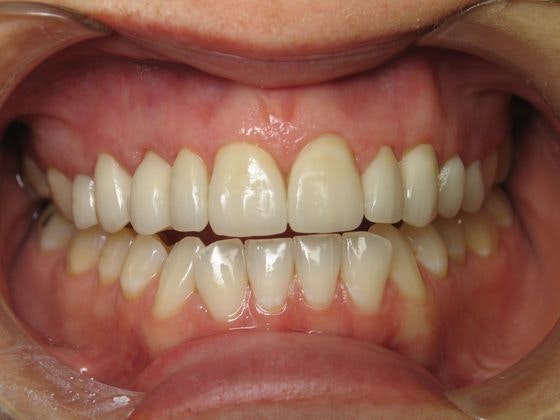
If cosmetic dental flaws affect your front teeth, you may be searching for ways to improve your smile. Porcelain veneers are thin shells of high-quality ceramic that mask cosmetic flaws in as few as two dental appointments.
Learn more about how Dr. John Goodman can enhance your smile with veneers at our Kansas City, MO, practice.
Ready for a Beautiful Smile? Contact Our Practice to Request a Consultation
Dr. John Goodman has been providing the Kansas City, MO, community with a comprehensive range of dental services since 1994. He has placed dental veneers for many patients and works with a high-end dental laboratory with talented laboratory technicians.
If you are considering porcelain veneers, please contact us online or call our dental office in Kansas City, MO, to request a consultation.
(816) 842-8585

"Dr. Goodman is the best dentist in town. He is awesome, gentle, honest and a tremendous person. Dr. Goodman goes above and beyond your expectations. He's extremely knowledgeable, polite and an artist for lack of a better word. I get compliments everywhere I go on my new smile. Because of the smile he gave me, I even have people ask me if I am a Dentist! He has transformed my mouth in no time at all. With my new Veneers he was super helpful, knowledgeable and explained everything... You have given me so much more of a reason to smile." Susan Nessari
How Much Do Porcelain Veneers Cost?
At our practice, patients can expect to pay $1,650 per tooth treated with a veneer. With Dr. Goodman's skill and our dental lab's exemplary work, patients can achieve attractive, natural-looking results.
Are You a Candidate for Treatment?

In addition to cosmetic issues affecting the appearance of the smile, good candidates for this procedure should meet the following requirements:
Good Oral Health
In order to receive porcelain veneers or undergo any cosmetic dentistry treatment, you must be in good oral health. Patients who don't brush or floss regularly are more likely to have dental health problems that can undermine the results of any cosmetic treatment. Our dentist offers a wide range of dentistry procedures to ensure your smile is healthy as well as aesthetically pleasing.
Sufficient Enamel
In addition, patients seeking traditional porcelain veneers need to have a sufficient amount of healthy enamel, as Dr. Goodman typically needs to remove a thin layer before placing veneers. When the dental veneer is bonded to the tooth, this ensures that the porcelain prosthetic is not too bulky and sits flush with surrounding teeth.
No Bruxism
Bruxism is a condition in which patients grind their teeth or clench their jaw regularly, often while they sleep. Although we use strong dental porcelain to fabricate veneers, they are not unbreakable. Unfortunately, the consistent forces of grinding or clenching can cause veneers to break or come loose. For some patients, Dr. Goodman can treat the underlying cause of bruxism so that you can receive veneers that will last.
Receiving Your Porcelain Veneers
Veneers can quickly upgrade your smile, concealing flaws like chips, cracks, discoloration, and misalignment.
Preparing the Tooth and Attaching the Veneer
Quick, Conservative Veneer Options

Minimal-Prep Restorations
Since traditional porcelain veneers require the removal of enamel, they are typically a permanent procedure. If you are concerned about permanently altering your teeth, need a quick cosmetic solution, or lack sufficient enamel to support the ceramic, we can offer minimal-prep veneers as an alternative that requires less commitment.
Same-Day Veneers
If you want a quick way to transform your smile, same-day veneers offer dramatic results instantly. During treatment, composite resin is applied directly to the teeth and shaped to improve the symmetry and color of your smile. This treatment is not appropriate for severe cosmetic imperfections, but it can conceal minor issues.
Aftercare and Maintenance
Recovery
There is no significant recovery time associated with porcelain veneers. Most patients return to their normal activities immediately after treatment. However, you may experience some dental sensitivity for a short period of time. We recommend avoiding very hot or cold foods, as well as chewy, hard, or crunchy foods for about a week or until the sensitivity wears off.
How Long Do Dental Veneers Last?
With proper care, your veneers can last up to 10 years. Same-day composite resin veneers are less durable, and last between four and eight years on average.
How Can I Prolong the
Lifespan of My Veneers?
Maintaining good oral hygiene can help extend the longevity of your porcelain veneers. While the porcelain itself is not subject to decay or disease, the underlying teeth are, so it is important to brush the teeth and porcelain prosthetic at least twice a day and floss daily. Visit our Kansas City, MO, office for regular cleanings and exams.
Additionally, you can protect your veneers by avoiding habits such as nail biting, chewing ice, and opening packages with your teeth. Minimizing the consumption of stain-producing substances, including coffee, tea, wine, berries, soy sauce, and tomato sauce, can help maintain the overall color of your smile, as well.
Read What Our Patients Have to Say
I have the biggest fear of going to the dentist. I have it. However, Dr.Goodman and the hygienist Tina are helping me overcome my fear. Everyone here is very nice. I can tell they genuinely care about my health.
View on GoogleMoved here from Chicago and very happy Dr. Goodman was the first dentist I saw here in KC. The staff was super friendly, communicated well, and didn’t try to upsell or do any unnecessary work. I really felt like the center of care
View on Google


