Cosmetic Dentistry in Kansas City
Even if you practice diligent hygiene and have impeccable oral health, you may still be unhappy with parts of your smile.
Cosmetic dentistry focuses on enhancing the appearance of your teeth and gums for truly remarkable results.
John Goodman, D.D.S. offers several cosmetic treatments at our Kansas City, MO, dental practice. See which is the best choice for you during a consultation.
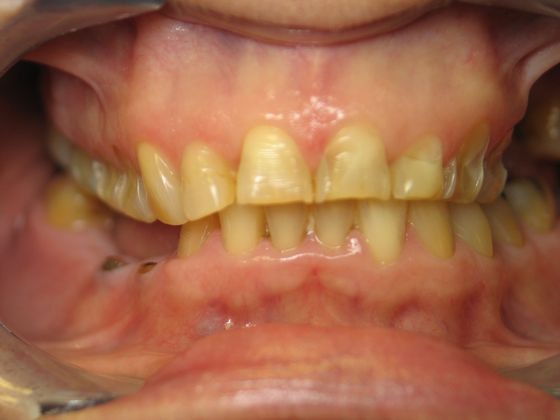
What Is Cosmetic Dentistry?
/
Cosmetic dentistry is the field of dentistry that focuses on improving the appearance of your smile by correcting cosmetic imperfections.
Benefits of Cosmetic Dentistry Why so many patients seek the care of a cosmetic dentist
There are several reasons why individuals may want to pursue cosmetic dentistry. Those who undergo this type of treatment can enjoy:
Enhanced Appearance
A cosmetic dentist takes all of your concerns and goals into account when creating your treatment plan. The result is a beautiful smile and improved appearance.
Better Self-Esteem
When you look your best, you feel your best. Cosmetic dentistry can give you a boost in self-esteem and the confidence to take on the world.
Increased Opportunities
Like it or not, research studies suggest that when you have a healthy, attractive smile, you are perceived as more successful and approachable.
We Give Kansas City a Reason to Smile! Request an Appointment With Dr. Goodman
Our dentistry practice in Kansas City, MO, prides itself on being a one-stop shop for dental care. With over two decades of experience, our dentist, John P. Goodman, offers a range of dentistry treatments to ensure his patients' unique dental concerns are addressed. Our practice is also proud to accept CareCredit® financing options to make cosmetic dentistry treatments affordable and accessible to more patients. Have dental anxiety? We have sedation options to make your treatment as comfortable as possible.
Still have questions? Feel free to call us or contact our dentistry practice online.
(816) 842-8585

“Probably the best dental experience I've ever had.”
5-Star Reviews From Our Kansas City, MO, Patients
I can't say enough good things about John Goodman and his staff. They were all extremely kind and courteous and made my experience very smooth. To top it off, I left my wallet behind after I left and it had fallen behind a chair. I managed to get a hold of Dr. Goodman and he took the time on his day off to go to his office, find my wallet, and wait for me while I came to get it from him! #notallheroeswherecapes
View on Google
Dr. Goodman and his staff were honestly incredible. I’ve never been to a dentist that’s taken his time to talk me through recommendations, and had the best interest of the client in mind. I would absolutely recommend him! Probably the best dental experience I’ve ever had.
View on GoogleGood Candidates for Cosmetic Dentistry Is this type of dental treatment right for me?
Our practice in Kansas City may recommend this type of dentistry if:
You Are in Good Oral Health
Tooth decay, gum disease, and other oral health conditions should be treated before any cosmetic procedure. If root canals, crowns, or other restorative treatments are necessary, they must be completed first.
You Want an Improved Smile
We want every patient to feel confident in their smile and proud to show it off to the world! If minor imperfections stop you from smiling as wide as you wish you could, our team is here to give you the treatment that gets you looking your best.
You Have Realistic Expectations
Once your dental goals are determined, our professionals will work closely with you to deliver results you’re over the moon about. From before and after photos to a detailed breakdown of your treatment plan, we make sure you know what to expect every step of the way.
Begin Your Smile Transformation Request a complimentary consultation today
A beautiful smile is just as important as a healthy one. We take great pride in helping patients achieve beautiful smiles they can feel great about sharing. If you are ready to transform your smile, request a complimentary consultation by contacting us online or by calling our practice in Kansas City, MO, today.
(816) 842-8585
Real Reviews From Real Patients
"I love everything about him and his staff! They are simply amazing!" Tammy Ash, 5-Star Review
Featured Cosmetic Dentistry Procedures
To achieve results patients love, Dr. Goodman helps them visualize their final smile using photography, other cases featured on our website, and a diagnostic wax-up of the teeth. We also rely on great communication and careful listening so we can create a treatment plan that meets the patient's goals, lifestyle, and budget.
There are several treatment options available, depending on the needs of the individual. Here are some of the most commonly performed dentistry procedures at our Kansas City practice.
Porcelain Veneers
If you want to conceal chips, cracks, or stains, dental veneers may be the solution. These restorations are made of lifelike porcelain and fit snugly over the front surfaces of the teeth. That means they’re also a great way to improve the appearance of misshaped, gapped, or slightly misaligned teeth.
In addition to traditional veneers, we also offer same-day veneers at our Kansas City dental office. Veneers from John Goodman, D.D.S. cost approximately $1,650 per tooth.


Dental Bonding
Dental bonding is a cost-effective alternative to veneers that can correct or conceal many of the same issues. Instead of creating porcelain restorations, Dr. Goodman will apply thin layers of tooth-colored resin to the treated tooth. He’ll then harden it with a special light for a seamless blend.
Dental bonding does not require any alteration of the natural tooth structure, and results typically last about five years.
Snap-On Smile
Snap-On Smile® can instantly transform the look of your teeth. This affordable custom-crafted device is designed to have the precise look you desire and is worn much like an aligner or slim mouthguard. Simply place your Snap-On Smile over your teeth when you want to wear it, and then easily remove it whenever you choose.
Snap-On Smile is a great option if you want to put your best smile forward while undergoing a larger treatment plan, or while on a limited budget.


Clear Aligners
Our Kansas City, MO, dental practice offers clear aligners much like Invisalign® so patients can discreetly address orthodontic problems like overlapped, jutted, twisted, or gapped teeth. Clear aligners like Invisalign can also address bite issues such as underbite and overbite.
Aligners are virtually invisible when worn, completely removable, and come with no dietary restrictions during treatment.
Gum Contouring
If you feel like you have an uneven gumline or a “gummy” smile, our dentist can perform gum contouring to restore balance and symmetry.
Dr. Goodman uses a laser for gum contouring instead of traditional treatment methods for better comfort and accuracy while creating a more attractive frame for your teeth.


Smile Makeover
A smile makeover is a customized plan that combines multiple cosmetic treatments to completely transform your smile. You can choose from procedures like teeth whitening, veneers, and gum contouring as well as restorative offerings like dental crowns.
Our dentist will carefully plan your makeover to meet your dental goals. Your input is essential, so we’ll ask you to describe the smile you wish to achieve in great detail.
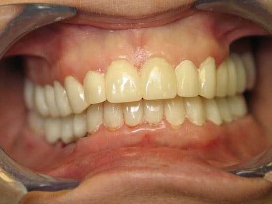
What About Missing Teeth?
/
A missing tooth can draw attention to your smile like nothing else. Dr. Goodman is happy to help you fill in the gaps with dental implants, or prosthetic tooth roots. They support crowns, bridges, or dentures that are made to match your natural teeth and don’t slip or slide around when you eat or speak.
Are You Looking for a Quick Enhancement? Try One of Our In-Office or Take-Home Teeth Whitening Options
We offer in-office and take-home teeth whitening treatments to help patients achieve brighter, more beautiful smiles. Thanks to an in-office Philips Zoom!® treatment, you can experience immediate results in just 90 minutes. If you choose take-home treatment, we have two different options: the GLO Science Pro Whitening and Opalescence home whitening kits. At the end of treatment, you can expect dazzling results that highlight all the best features of your smile.
A Closer Look at Porcelain Veneers
Porcelain veneers are thin porcelain shells that fit over the front of your tooth to conceal cosmetic imperfections such as chips, cracks, minor misalignment, and discoloration. Your dentist will remove a small amount of enamel so the veneer blends seamlessly with your other teeth for beautiful and natural-looking results.
“Complete smile transformation for me.” More High Praise From Patients in Kansas City, MO
Dr. Goodman is excellent and everybody who works there is so nice. Complete smile transformation for me. Life changing
View on Google
Moved here from Chicago and very happy Dr. Goodman was the first dentist I saw here in KC. The staff was super friendly, communicated well, and didn’t try to upsell or do any unnecessary work. I really felt like the center of care
View on GoogleExtend the Benefits of Your Cosmetic Treatment Aftercare Tips to Keep in Mind
Proper post-treatment aftercare helps ease the recovery process and maintain your beautiful smile.
Cut Down on Teeth-Staining Drinks
Drinking tea, coffee, soda, fruit juice, and other dark or sugary beverages can discolor your teeth. You may be advised to avoid certain beverages for at least 24 hours after your cosmetic dentistry procedure.
Avoid Smoking and Tobacco Use
Cigarettes and other tobacco products can easily stain teeth. Discoloration caused by smoking may even be the reason for visiting our dentist in Kansas City, MO, in the first place.
Use Whitening Toothpaste
An easy way to keep your teeth looking white after a cosmetic dental procedure is to invest in whitening toothpaste. Everyday use of whitening toothpaste may increase tooth sensitivity, so consult your dentist first.
Protect Your Teeth from Harm
Biting your nails, chewing on ice, using your teeth to open stubborn packages, and similar actions can damage teeth and dental restorations. Be wary of especially sticky or hard foods, and be conscientious while chewing.
Schedule Regular Dental Visits
By visiting our Kansas City cosmetic dentist periodically for checkups, any potential problems will be found and addressed early on before turning into larger issues. Moreover, professional cleanings will keep your teeth and gums looking great.
A Smile to Feel Proud Of Request a Consultation to Realize Your Goals
No matter the current state of your smile, your goals are within reach. Request a consultation with Dr. John Goodman in Kansas City to see what’s possible.
“Nothing but positive energy here.” Bringing Smiles to Kansas City Faces
I felt nothing but positive energy here. Very professional. I would definitely recommend John P. Goodman to family and friends!
View on Google
The staff is so kind, welcoming & knowledgeable. They have made each experience so positive that I genuinely look forward to my teeth cleaning. Thank-you Dr. Goodman for all that you do!
View on GoogleFrequently Asked Questions About Cosmetic Dentistry in Kansas City
If you have any questions about our cosmetic treatments or any other aspect of our services, we'd love to talk to you during a free consultation. In the meantime, here are answers to some of the questions patients ask most often about cosmetic dentistry at our Kansas City practice:
Cosmetic vs. restorative—which is right for me?
Cosmetic dentistry focuses on the appearance of your smile. Restorative dentistry addresses issues that can impact your oral health and function. However, some issues may impact the health, function, and appearance of your smile all at once. During your initial consultation at our Kansas City dental practice, your dentist will examine your mouth and discuss your goals to determine which treatments are the right ones for you.
Can cosmetic and restorative treatments be combined?
Yes! Dr. Goodman can craft a customized plan that combines multiple treatments in order to make your smile both healthy and attractive. For example, let's say you need dental crowns to support damaged teeth. He can whiten surrounding teeth and then match your crowns to this brilliant new shade of white to create a result that makes your smile look better than ever. If you are missing teeth, we can provide replacement teeth supported by dental implants for a solution that is not only functional, but also indistinguishable from natural teeth.
Does cosmetic treatment hurt?
No. Dr. Goodman makes your comfort a priority, and will take all necessary measures to minimize any pain. Teeth whitening can be easily adjusted to accommodate sensitive teeth, and local anesthesia makes porcelain veneer prep virtually painless. If at any time you experience pain or discomfort, please let your dentist or dental team know. We want you to be as comfortable as possible, and will promptly address any concerns.
How long will my results last?
This will depend on the type of cosmetic treatment you receive and how you care for your teeth. With teeth whitening, results can last years with proper care. Veneers can last for 15 years or more before they need to be replaced. When your cosmetic work eventually needs to be replaced or touched up, Dr. Goodman is here to provide the care you need. During regular checkups, he will monitor the condition of your entire smile to make sure your health is excellent, and that any cosmetic upgrades like veneers are in great condition.
A Look at Your Restorative Options And Streamlined Treatment Plans
John Goodman, D.D.S. is proud to serve the comprehensive dental needs of Kansas City patients with much more than just cosmetic offerings. Our practice handles all manner of treatments intended to improve the health and function of your smile, including:
Our dentist can perform these treatments individually or as part of a streamlined plan called full mouth reconstruction. As the restorative equivalent of a smile makeover, full mouth reconstruction combines the treatments you need so you get them completed sooner and in a way that meets your unique goals.

“Dr. Goodman and his staff are wonderful! They are fast, professional, and polite. Finding a good dentist is extremely hard to do, so I was beyond lucky when a friend recommended Dr. Goodman. I have been going there almost two years, and they really are awesome! I highly recommend them.” Tosha, 5-Star Google Review








