
Dental Crowns
How Do Dental Crowns Work?
Crowns are dental restorations that fit over and protect a damaged tooth thanks to a simple dental procedure performed by Dr. Goodman. Dentists use them in restorative and cosmetic dental procedures to refresh and protect our greatest asset: a healthy smile. In fact, dental crowns often help preserve an otherwise healthy tooth from needing unnecessary extraction. Our tooth restorations are made from various high-quality materials including dental grade porcelain. With care, these strong dental restorations can last 15 years or more.
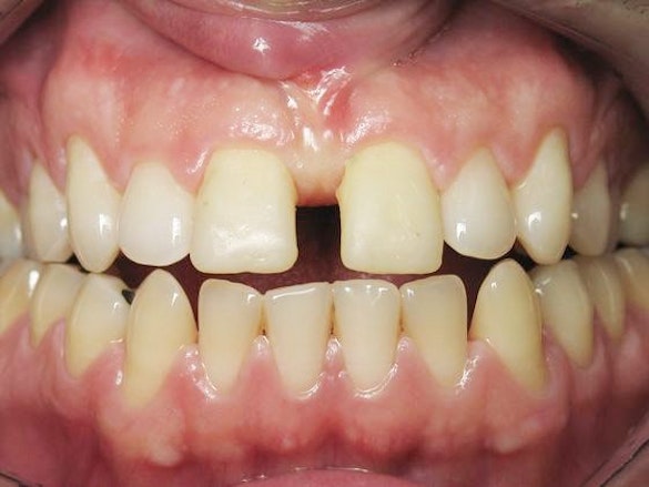
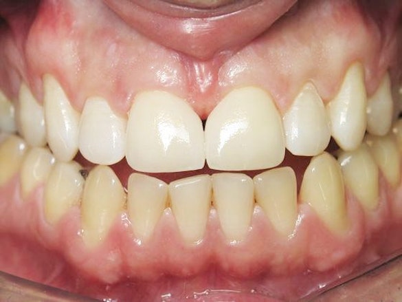
Dental Crowns Can Dramatically Improve Your Smile
Though dental crowns are often used for restorative reasons, they can also address cosmetic issues. They will be carefully crafted to match the size, shape, and shade of your surrounding teeth. This patient used dental crowns as a cosmetic solution for their gapped, uneven, and discolored front teeth.
Giving Kansas City a Reason to Smile
Dr. Goodman is the Kansas City, MO, dentist you should choose for dental crowns or virtually any kind of dental procedure, most of which he personally performs at his modern yet inviting office. His vast experience, first-class education, and warm sense of humor make his patients feel at-ease and confident in their choice. His practice features the most cutting-edge advancements in dental technology, such as virtually pain-free laser dentistry, assuring you of precise, comfortable, and effective dental treatment. It's no wonder he has hundreds of Google reviews with an overall rating of 4.9.
Want to speak with our dentist about restoring your smile? Set up a free consultation by using our simple online form or calling our Kansas City dental office today. We'd love for you to join our extended family of happy, smiling patients!

Dr. John Goodman welcomes you to our office.
"The best dentist and staff I have ever been to!" Our Smiling Patients Give Us 5-Star Google Reviews
Dr. Goodman is excellent and everybody who works there is so nice. Complete smile transformation for me. Life changing
View on GoogleThe best dentist and staff I have ever been to!
View on GoogleDental Bridges Also Address Tooth Loss
A traditional dental bridge is a prosthetic dental appliance used to replace one, two, or three missing teeth without the use of dental implants. A bridge consists of one or more artificial teeth (pontics) to fill in the gaps left behind by missing teeth. These pontics are anchored to adjacent natural teeth, which are capped with crowns to hold the bridge in place. Bridges can be a less invasive and more affordable option compared to dental implants. However, dental implants are generally considered a superior option to dental bridges due to their durability and ability to preserve healthy neighboring teeth. They also stimulate the jaw and preserve a healthy bone structure.
Costs and Insurance Coverage
How Much Do Dental Crowns Cost?
The cost of your crowns can vary due to many factors such as the material of the crown, whether they are traditional or supported by implants, and the number of teeth that are being restored. Dr. Goodman will go over all of your costs and options during your free consultation.
Insurance Coverage
As far as dental insurance goes, all plans are different. But generally, a portion of your crown cost should be covered if the crown is being placed for medical reasons. Dr. Goodman proudly offers affordable financing through CareCredit® to help his patients cover any out-of-pocket costs.
The Treatment Process
The Traditional Crown Treatment Timeline
Learn for yourself why we have nearly 200 Google reviews with an average rating of 4.9 stars.
To start improving your smile with dental crowns, call our Kansas City office or request a consultation online to get started:
(816) 842-8585
"I’m genuinely excited to go back in six months." More Five-Star Google Reviews from Our Smiling Patients
Moved here from Chicago and very happy Dr. Goodman was the first dentist I saw here in KC. The staff was super friendly, communicated well, and didn’t try to upsell or do any unnecessary work. I really felt like the center of care
View on GoogleI was nervous for my appointment because it’d been 3 years since my last cleaning, but the staff here are absolutely excellent and made me feel so comfortable! I’ve never left a dentist’s office with a genuine smile before, I’m genuinely excited to go back in six months.
View on GoogleFAQs About Dental Crowns
Q. What materials are dental crowns made of?
We offer a variety of materials to craft your crown from, depending on your needs and budget. We offer top-grade metal, porcelain, zirconia, or porcelain-fused-to-metal dental crowns.
Q. How long do dental crowns last?
Crowns are generally known to last about 10-15 years with proper care. To extend the lifetime of your dental crown, brush and floss around it regularly, like you would with your natural teeth. And make sure to get twice-yearly checkups and cleanings.
Q. How is a permanent crown different from a temporary crown?
Permanent crowns are custom-made in a dental lab, using materials like porcelain or metal. They are designed for long-term use and are more durable than temporary crowns.
Q. Is the dental crown process painful?
The procedure is virtually painless since your dentist will administer local anesthesia to completely numb the area. Some discomfort or sensitivity may occur after the anesthesia wears off, but it's usually manageable with over-the-counter pain relievers. No further sedation is required so you can safely drive yourself home after treatment.
Q: Do crowns look natural?
Today's dental materials are indistinguishable from natural teeth. Plus, if you'd like to take this time to achieve a brighter smile, we can perform teeth whitening first for a rejuvenated look."Probably the best dental experience I’ve ever had." More Thankful Reviews From Our Kansas City Patients
I saw Dr. Goodman today and love the work he did for me. His bedside manner is amazing and his staff is wonderful. I felt the care I received was very affordable as well. I will definitely be back and cannot say enough wonderful things about my experience today.
View on GoogleDr. Goodman and his staff were honestly incredible. I’ve never been to a dentist that’s taken his time to talk me through recommendations, and had the best interest of the client in mind. I would absolutely recommend him! Probably the best dental experience I’ve ever had.
View on Google


